Monthly archives "October 2013"

Teeth implantation is forbidden for…!

Teeth implantation is forbidden for…!

 

Unconditional contraindications for dental implants are:

  • diseases of the blood and blood-forming organs. For example, blood clotting excludes any surgery because of serious bleeding.
  • CNS disease (congenital and acquired).
  • Sarcoma, cancer. Surgical intervention may affect the development and metastasis of tumors.
  • immunopathologic condition (surgical necessarily takes time energetic and quite tense of the immune system to normal tissue healing after surgery)
  • systemic disease of the connective tissue. Implantation is extremely demanding on the growth and regeneration of connective tissue around the implant, respectively, similar to the disease (e.g., systemic lupus erythematosus, rheumatoid, scleroderma, rheumatoid and other diseases) preclude implant placement
  • tuberculosis
  • Certain oral mucosal diseases: chronic recurrent aphthous stomatitis, pemphigus, lupus erythematosus, Sjögren’s syndrome, etc.
  • Diabetes type
  • Bruxism, hypertonia of masticatory muscles.

Read More →

Classification of dental implants

Classification of dental implants

 

Classification of dental implants depends on a number of criteria, but many types of implants are designed for use in the current state of the bone tissue and the jaw of the patient. A number of dentists are paying more attention to the classification of dental implants on the material of their making, separating artificial roots for:

  • Biotolerant (chromium-cobalt alloy or stainless steel);
  • Bioinert (gold, zirconium, titanium, glassy carbon, corundum ceramics);
  • Bioactive (covered by tricalcium phosphate ceramics or hydroxyapatite).

Read More →

Patients feelings during and after the teeth implantation

Patients feelings during and after the teeth implantation

 

During the implantation.

All doctors unanimously assert that the implantation of a tooth is more painless and less terrible than its removal. In this case, the usage of anesthesia is often practiced by: if you want to install 5-6 implants, doctors do recommend a local anesthetic; if more – it is appropriate to use general anesthesia. In general, each tooth will take about 20 minutes.

Read More →

How to take care of the teeth implants?

How to take care of the teeth implants?

 

We must warn you that taking care of your teeth on implants is harder than caring for natural ones. If the owner of the new artificial teeth due to that he was not being able to keep his natural teeth, it is absolutely possible, that dentures may suffer the same fate. Therefore, you must not be lazy in the first days to care for new teeth.

Read More →

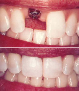
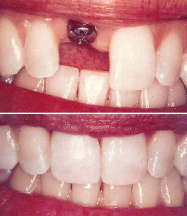
Single tooth implantation

Single tooth implantation

 

Modern dental implantation is the perfect solution in the case when the patient lacks only one tooth. This method makes it possible to avoid the turning of the adjacent healthy teeth, which inevitably when installing traditional bridges, implant will return to patient the loss of aesthetic smile.

Read More →

Examination before the teeth implantation

Examination before the teeth implantation

 

High-quality dental implantation impossible without advanced diagnosis, because this type of prosthetics is fairly serious surgery. Before installing dental implants dentist is to assess bone health and quality through careful X-ray examination, and also the general condition of the oral cavity.

Read More →