Possibility exists, but it depends on the correct choice of the implant, the later state of the tooth holes after the removal.
Up to date, in the arsenal of dentistry are at least 201 species of the dental implant, which is differ in shape and surface treatment. Form of implants can be laminar, and a screw, but preference should be given to the screw, as only they provide a predictable and durable result. Laminar implant has a lifetime of up to several years, after which they disintegrate and must be removed and replaced with new ones. But later because of disintegration defects of bone often remain that prevent installation on the same place a new implant and this in turn leads to the need to conduct additional operations to build bone. Unlike laminar, screw implant is tens of years and it does not pose any threat to the health of patients.
Another very important factor is the surface of the implant. It affects the percentage of engraftment (integration) of implants. Different implants this percentage is measured in the range of 50% to 100%. Only a few kinds of this variety make it possible instantly install the implant. The special treatment of the surface of these implants allows them to take integration more quickly.
The operation of immediate implantation has some advantage over the traditional.
Firstly, the cuts are not made, hence no loss of blood supply and bone nutrition around the implant and increases the percentage of implant integration.
Secondly, the minor trauma of tissues reduces post-operative pain and swelling.
Thirdly, it reduces the number of visits, since on the implant immediately healing abutment is set, there is no need for a second surgical stage. The patient comes after 3-4 months, and changes to the healing abutment for permanent crown.
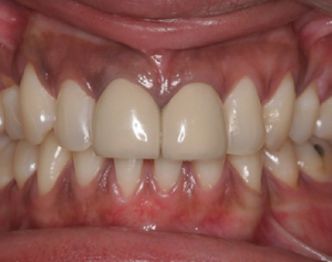
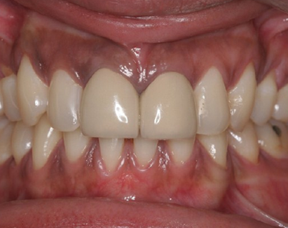
Fourthly, you should not wait several months of alveolus healing after removal, and be without a tooth. This question is only relevant in the case of front teeth, where there are high demands on aesthetics. Immediate implantation gives the possibility immediately set temporary crowns on implants and let the patient go from the hospital with new teeth.
Fifthly, due the fact that these operations are less prolonged than usual, they are much easier to be undergone.
Unfortunately, not in all cases, there is an opportunity for immediate implantation. Often, because of the prolonged inflammation around the root destroyed walls of alveolus. Formed as a result shortcomings don’t let to implant tooth. So increases the percentage of implant failure and infections in the alveolus of extracted tooth. In practice, only about 30% of patients can immediately install the implant.
