Архивы за месяц "Январь 2020"

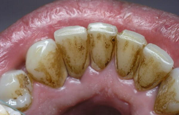
Чем вреден зубной камень?

зубной камень

Зубной налет, оседающий на поверхности наших зубов, со временем отвердевает. Так образуется зубной камень. Зубной камень очень легко определить самостоятельно. Это твердая каменистая субстанция, имеющая коричневатый или желтоватый оттенок.

Read More →

Несъемный протез на имплантате

Несъемный протез на имплантате

Несъемное зубное протезирование в Сумах – является наиболее эффективным способом восстановления утраченных зубов. Потерять зуб можно по разным причинам: возраст, механические повреждения или поражение зуба кариесом. В любом случае зуб нужно восстановить. От этого зависит

Read More →

Крепления несъемных протезов

Крепления несъемных протезов

Ни для кого не секрет, что выпавшие или поврежденные зубы нужно восстанавливать. Ведь отсутствие зубов не только влияет на красоту улыбки, но и ухудшает жевательную функцию. Наиболее правильный способ восстановить зуб – поставить несъемный протез.

Read More →

Несъемные протезы и их виды

Несъемные протезы и их виды

Рано или поздно каждый человек теряет зубы. Причиной тому могут послужить травмы, кариес или старость. В любом случае зубы нужно восстановить, ведь от этого не только восстанавливается красота улыбки, но и основная функция зубов – жевательная.

Read More →

Пародонтит

десны сумы

Пародонтит – заболевание десен, возникающее на фоне запущенного гингивита. При этом заболевании инфекция поражает мягкие и костные ткани, за счет которых зуб удерживается на своем месте. Можно понять, что при запущенной форме пародонтита можно потерять зуб.

Read More →

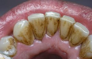
Что такое зубной камень и как с ним бороться?

снять камень зубы

Основной причиной пародонтоза медики называют зубной камень. Пародонтоз – заболевание, которое ведет к утрате зубов и к этому недугу приведет зубной камень, который многие считают просто эстетическим дефектом.

Read More →

Гингивит

Гингивит

Воспалительный процесс в поверхностных тканях десны называют – гингивит. Гингивит – наиболее часто встречаемое заболевание десен. Причиной его возникновения является отсутствие гигиены ротовой полости или ее неудовлетворительное проведение.

Read More →