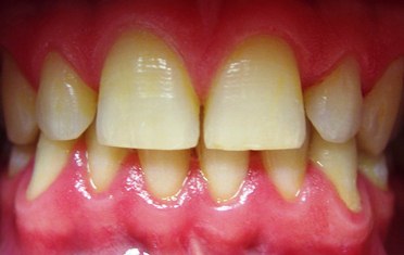
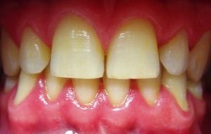
Пародонтит – заболевание десен, возникающее на фоне запущенного гингивита. При этом заболевании инфекция поражает мягкие и костные ткани, за счет которых зуб удерживается на своем месте. Можно понять, что при запущенной форме пародонтита можно потерять зуб.
Лучшей профилактикой пародонтита был и остается правильный ежедневный уход за ротовой полостью. Однако большое влияние на появление данного заболевания оказывает наследственность, прием некоторых лекарств и текущее состояние организма.
Определить пародонтит на ранней стадии можно по опухлости и покраснению десны. В случае обнаружения этих симптомов не нужно затягивать с визитом к стоматологу. В противном случае происходит отсоединение десны от зуба. Сопутствует этому появление неприятного запаха и кровотечение при воздействии на десну твердых продуктов или зубной щетки.
Развитие десневых карманов ведет к тому, что зуб становится подвижным и в дальнейшем может просто выпасть. Лечение пародонтита заключается в чистке таких карманов и обработке их антисептиками. Также очищаются зубы от налета и зубного камня, так как эти отложения являются источником инфицирования.
Лечить десны в Сумах можно в нашей клинике. Записаться на бесплатную консультацию стоматолога в г. Сумы можно по телефону.
