Воспалительный процесс в поверхностных тканях десны называют – гингивит. Гингивит – наиболее часто встречаемое заболевание десен. Причиной его возникновения является отсутствие гигиены ротовой полости или ее неудовлетворительное проведение.
Отсутствие ухода за ротовой полостью приводит к тому, что на зубах скапливается налет. Он становится идеальной средой обитания болезнетворных бактерий. Их жизнедеятельность ведет к возникновению воспалительного процесса в деснах и кариесу.
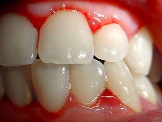
Чаще всего гингивитом страдают беременные и подростки. Распознать недуг можно по следующим симптомам:
1. Десна воспаляется.
2. Возникает отек.
3. Десневой край становится красным.
4. Между десной и зубом образовывается борозда.
5. Появление десневого кармана.
6. Десны становятся более чувствительны.
7. Появляется кровоточивость. Часто кровь можно видеть на щетке после чистки зубов.
Выделяют две формы гингивита: острая и хроническая. Острая форма присуща подросткам и беременным. Хроническая же наблюдается у взрослых людей.
Лечение гингивита подразумевает устранение факторов, вызвавших заболевание. Первым делом врач проведет чистку зубов от бляшек и налета. Далее могут быть назначены противовоспалительные препараты и антибиотики.
Профилактикой возникновения гингивита является ежедневный и тщательный уход за ротовой полостью.
