Неожиданные причины заболеваний зубов
Известный факт, что здоровье зубов зависит от правильного и постоянного ухода. Кроме этого человек должен периодически посещать консультации стоматолога даже если зубы его не беспокоят.
Известный факт, что здоровье зубов зависит от правильного и постоянного ухода. Кроме этого человек должен периодически посещать консультации стоматолога даже если зубы его не беспокоят.
Формирование зубной эмали происходит благодаря ферменту, который удалось обнаружить ученым из Южнокалифорнийского университета. На основе этого фермента
Преодолеть страх перед стоматологом поможет когнитивная терапия. Такая психологическая терапия помогла справиться со своей фобией 80% обратившихся людей.
Самые прочные зубные пломбы обещают нам румынские исследователи. Для этого они предлагают в изготовлении пломб использовать оксид графена. Благодаря этому компоненту пломбы могут стать более изнсостойкими и не будут подвержены коррозии.
Издавна известны полезные свойства чая, особенно зеленого. Но мало кто догадывался, что для зубов окажется полезен дешевый пакетированный чай.
На протяжении долгого времени нас убеждали в том, что не содержащие сахара напитки гораздо безопаснее тех, которые сахар содержат. Такое утверждение можно часто услышать в рекламных роликах производителей таких напитков.
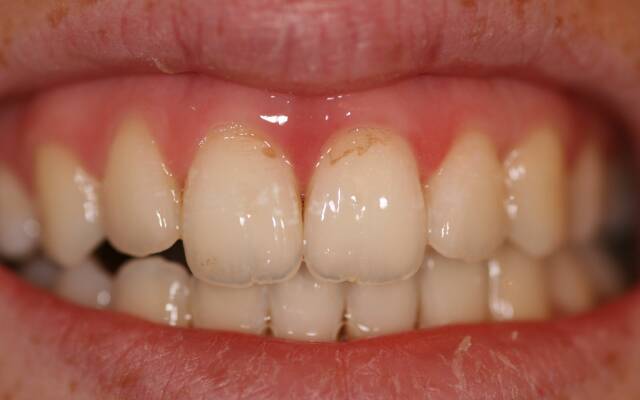
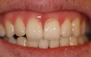
Эта статья поведает нам кратко о причинах, а также симптомах эрозии зубов человека. Более детально читайте в полной публикации на нашем сайте.
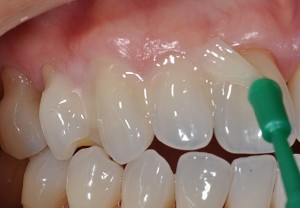
Одним из самых популярных болезней является эрозия зубной эмали. Что это такое? Более детально мы расскажем в этой статье.
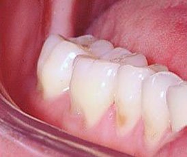
В этой информационной статье мы расскажем Вам про острые травмы зубов в стоматологии, а также про их поверхностную характеристику.
При возникновении проблемы с зубами у человека начинается паника, но решать эту проблему нужно в срочном порядке. Ведь зубы помогают человеку жевать, а также получать полезные вещества из пищи.