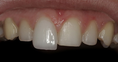
Зубные виниры – это ничто иное как облицовка для зуба. Как правило, виниры изготавливаются из керамики и имеют толщину от 0,5 до 0,7 мм. Ими покрывают фронтальную часть зуба, так называемой «зоны улыбки».
Перед тем, как установить виниры врач проводит осмотр состояния зубов. При выявлении кариеса или других проблем, проводится лечение. Если зубы в порядке можно приступать к подготовке к установке виниров. Так как сама керамическая пластина имеет свою толщину, нужно сделать так, чтобы она не выпирала на фоне других зубов. Для этого зуб препарируют, т.е. снимают небольшой слой эмали. После этого делают слепок и направляют его в лабораторию. Согласно слепка изготавливается винир. Готовое изделие поступает к стоматологу, который установит виниры пациенту. Крепятся виниры надежно на стоматологический клей.
В каких случаях применяются виниры?
Виниры применяют для:
• Восстановления эмали зубов (врожденные и приобретенные дефекты).
• Устранения сколов и трещин.
• Исправления формы зубов.
• Восстановления утраченного цвета зубов (в случаях когда процедура отбеливания не помогает).
• Устранения межзубного промежутка (диастемы).
Именно с помощью таких керамических пластин формируется голливудская улыбка и позволить сегодня ее может каждый. Узнать стоимость установки виниров в г. Сумы можно по телефону или записавшись на консультацию в нашу клинику.
