Словосочетание «зубной налет» сразу же вызывает негативные эмоции. Представляется и неприятный запах, и некрасивые желтые зубы. Такое проявление нашего организма считается одним из самых неприятных и некрасивых. Однако, недавно проведенные исследования показали, что зубной налет может быть полезен.
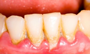
Нам известно, что зубной налет – идеальная среда обитания болезнетворных бактерий. Появление зубного налета сопровождается и появлением неприятного запаха изо рта. Кроме того, желтый налет на зубах не придает нашей улыбке красоты. Вовремя не снятый зубной налет твердеет и превращается в зубной камень, который можно удалить только в кабинете стоматолога. Налет – причина возникновения кариеса и воспаления десен. Так, что до сегодняшнего дня об этом образовании сказать чего-то хорошее было нельзя.
Недавно проведенные исследования в одном из университетов Великобритании неожиданно выявили одно полезное свойство зубного налета. Как оказалось, состоящий из многих элементов налет, включает и такой, который помогает нейтрализовать негативное воздействие соли. Как известно, большое количество соли в нашем организме способно спровоцировать гипертонию. Несмотря на это многие люди, любящие соленую пищу не перестают ее употреблять. По мнению британских ученых, найденый ими элемент поможет решить эту проблему.
Принцип работы этого элемента заключается в том, что пища кажется более соленой на вкус чем она есть и человек конечно же откажется от соленой пищи, которая ему будет казаться пересоленной.
Ученые предлагают вывести этот компонент и использовать его в производстве продуктов питания.
