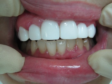
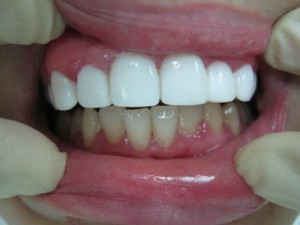
Виниры — это современный, эффективный и быстрый способ придать своим зубам идеальный вид. При помощи виниров можно исправить недостатки и защитить зубы от воздействия внешних факторов.
Винирование справляется с такими задачами как:
- нарушение цвета эмали зуба
- трещины или сколы зубов
- тетрациклиновые зубы
- нарушение формы зубов
- промежутки между зубами
- нахождение зуба вне зубного ряда
Процесс установки виниров начинается со снятия слоя эмали. После этого будет снят слепок для изготовления виниров.
Препарировные зубы на время покрываются временными винирами. Это делается для защиты от воздействия внешних раздражителей, ведь зубы со снятым слоем эмали остро реагируют на всякое воздействие. Срок изготовления постоянных виниров 5-8 дней.
На сегодняшний день существуют различные типы виниров и материалы их изготовления. Определить какой тип подойдет именно Вам. Поможет стоматолог исходя из индивидуальных особенностей.
