В наш век повышенных скоростей, а также чрезмерного травмирования челюстей производится расшатывание зубов.
Возможность спасти зубы есть и называется данная процедура шинированием.
В нашей статье мы расскажем про специальные композитные материалы, а также нити, которые используют для шинирования зубов.
Что такое шинирование зубов?
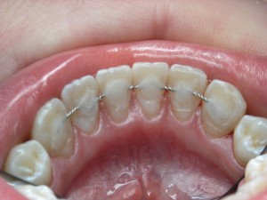
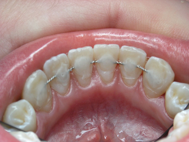
Шинирование подвижных зубов представляет собой объединение нескольких зубов. При этом используют разнообразные материалы, а также приспособления.
Временное шинирование зубов
Есть постоянное, а есть временное шинирование зубов. Временное применяют после ортодонтического лечения.
Если подвижность сильная, то делают постоянное шинирование зубов.
Основные показания
- При расшатывании в результате травмы.
- Для предотвращения перемещения зубов.
- Для закрепления ортодонтического лечения.
- Для закрепления результатов.
