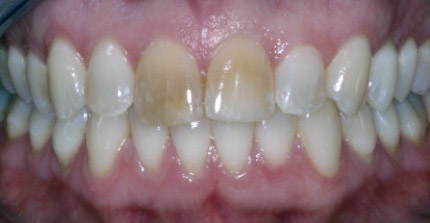
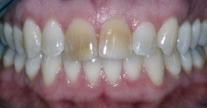
Иногда вы замечали у детей и даже взрослых серо-желтый цвет зубов. Удалить при помощи зубной пасты не получится. Такое явление называется «тетрациклиновые зубы».
Тетрациклиновые зубы являются следствием приема лекарственных препаратов тетрациклинового ряда в период беременности или лечение тетрациклиновыми препаратами ребенка в первый годы его жизни. Тетрациклин влияет на окрашивание зубов в период их формирования.
Тетрациклиновыми называют зубы, поменявшие свой цвет в результате воздействия тетрациклиновых антибиотиков. И чем чаще будущая мать принимала этот препарат, тем интенсивнее меняется окрас зубов будущего ребенка.
Диагностируются тетрациклиновые зубы очень легко. Родители обязательно обратят внимание на то, что зубики ребенка имеют желто-коричневый или желто-серый окрас. Через время интенсивность цвета может увеличиться. Это связано с воздействием пищевых красителей. Зуб будет окрашен не полностью, так как окраска меняется в период приема тетрациклина. Тетрациклиновые зубы имеют еще одно отличие – они светятся под ультрафиолетом.
Если зуб окрашен слабо, то избавиться от тетрациклиновых зубом можно проведя процедуру отбеливания. В случае сильного окрашивания отбеливание не даст необходимого результата. В этом случае врач порекомендует покрыть такие зубы винирами.
Виниры – это тонкие керамические пластинки, под которыми можно скрыть различные дефекты зубов, в том числе и тетрациклиновые зубы.
