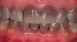
Тетрациклиновые зубы – нестандартное заболевание, которое подразумевает под собой изменение цвета зубов из-за частого приема антибиотиков, в состав которых входит тетрациклин в период развития и обогащения минералами тканей зубов. Тетрациклиновые зубы являются одним из видов гипоплазии.
Частое использование тетрациклина в целях лечения во время беременности или детей в раннем возрасте способствует отложению тетрациклина в тканях будущего зуба и в костях ребенка, в результате этого происходит изменение цвета зубов. То в какой мере зубы изменят свой цвет зависти от дозировки тетрациклина. Активное применение тетрациклина также могут привести к тому, что зубная эмаль будет недоразвита. Если тетрациклин принимается во время беременности, то у малыша окрасятся молочные зубы. Если же тетрациклином лечится ребенок старше шести месяцев, то окраситься смогут и постоянные зубы. Окрашиваться может отдельная часть зуба или вся зубная коронка. Диагностировать тетрациклиновые зубы с помощью ультрафиолета, а лечение будет зависеть от степени окрашивания. Лечение производится с помощью препаратов, в состав которых входит кальций, фтор, фосфор и др. Так же возможно профессиональное отбеливание зубов. Если избавиться от темного цвета не удается, то в таком случае выполняется эстетическая реставрация с применением виниров.
