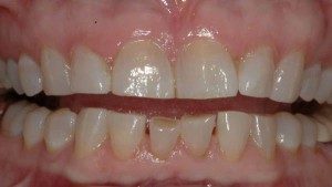
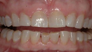
Уменьшение высоты коронки с быстрым убыванием эмали и дентина называется патологической стираемостью зубов.
Зубы на протяжении нашей жизни имеют свойство стираться, однако, при патологическом стирании скорость снижения уровня костной ткани значительно выше. Патологическая стираемость приводит к изменению формы зубов и дисфункции височно-нижнечелюстного состава. Кроме того, убыль слоя зубной эмали приводит к повышению чувствительности зубов.
Премоляры и моляры чаще всего подвержены патологической стираемости, также страдают режущие края передних резцов. Проблему стираемости зубов связывают с такими причинами:
• Слишком сильная нагрузка на зубы.
• Неблагоприятное воздействие на зубы.
• Неполноценность твердых тканей.
К нерациональной нагрузке на зубы приводит неправильный прикус, бруксизм или неправильно подогнанные протезы.
Неблагоприятное воздействие на зубы, вследствие которого появилась патологическая стираемость зубов, могут оказывать вредные производства или проводимая лучевая терапия в области головы.
Патологическая стираемость соответственно этим критериям разделяется на врожденную и приобретенную. Заболевание так же классифицируют по степени стираемости.
При осмотре врач даст оценку протеканию заболевания и примет необходимые меры. Для лечения стираемости зубов применяют каппы, вкладки, виниры или коронки.
