В этой статье мы расскажем про кариес молочных зубов и его основных проблем.
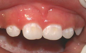
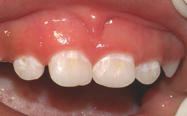
Самая начальная стадия — это разные кариозные пятна, они еще не разрушили эмаль и дентин. Если поражена эмаль, то это поверхностный кариес. Средний — это уже поражения дентина. Глубокий — самая последняя стадия.
Профилактические методики кариеса. В самую первую очередь следует пересмотреть гигиену полости рта Вашего ребенка. Чистка зубов просто необходима, ведь это залог красивой улыбки без каких-либо проблем. Приручить нужно к этому с появлением первых зубов.
Пересмотрите рацион питания у Вашего ребенка, исключите сладкое и другую вредную еду. Правильное питание минимизирует риск возникновения проблем с желудком.
