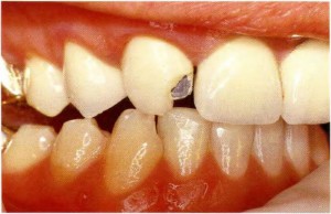
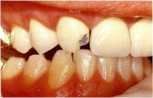
Металлокерамические коронки в Сумах получили наибольшее распространение благодаря своей эстетичности, приемлемой стоимости и надежности. Но иногда керамическое покрытие таких коронок становится уязвимой. Это приводит к сколу керамического покрытия. Наиболее частой причиной такой неприятности является недостаточное окисление металлической основы.
Так же причиной может выступить механическое повреждение. Хотя керамика и считается очень прочным материалом, нагрузка на нее должна распределяться равномерно. Точечные нагрузки приведут к сколу материала.
Иногда скол керамики может быть следствием плохой работы зубного техника или врача.
Исправлению скола предшествует выявление причины появления такого дефекта. Это делается для избегания повторного скола. После этого стоматолог определяет метод восстановления металлокерамической коронки.
Восстанавливая коронку врач обрабатывает место скола, наносит связующий элемент на который накладывается пломбировочный материал, маскирующий металлический каркас. Потом наносится материал для реставрации. Процесс заканчивается полировкой коронки, которая скроет следы реставрации.
