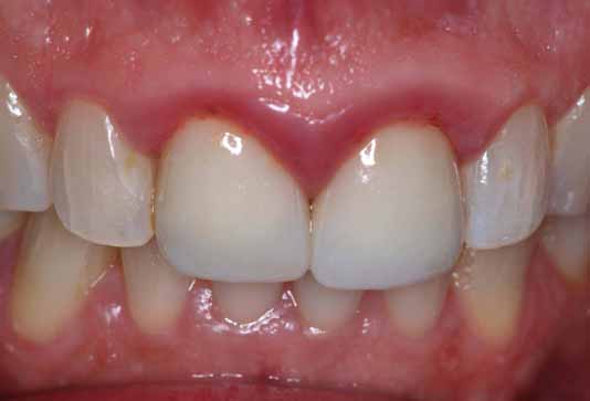
Самый первый и самый ранний симптом заболевания десен – это кровоточивость. На такое явление как кровь на зубной щетке, мало кто обращает внимание.
При кровоточивости пациент не ощущает боли и дискомфорта, поэтому об обращении к стоматологу зачастую никто и не думает, ссылаясь на то, что кровь может появиться в результате повреждения десны при чистке. На самом деле это явление и есть признак проблем со здоровьем десен.
Следующий этап заболевания десен – появление отечности. Десны становятся рыхлыми и обретают красный цвет. Воспалившаяся десна начинает отставать от зуба и образовывает десневые карманы. В такие карманы попадает пища и вызывает гнилостный процесс. При этом появляется неприятный запах изо рта, от которого практически нельзя избавиться.
Вышеперечисленные признаки должны вызвать у человека тревогу и заставить его обратиться за помощью к стоматологу. Если этого не сделать вовремя, то в десневом кармане начнет появляться гной, а далее произойдет интоксикация организма. Зубы становятся подвижными и есть риск их выпадения из-за атрофии десен. На этой стадии лечение достаточно сложное и проводится не за одно посещение. Поэтому при появлении кровоточивости, зуда, опухлости и жжения следует как можно скорее обратиться к стоматологу для предупреждения развития заболевания.
