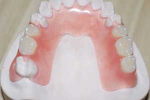
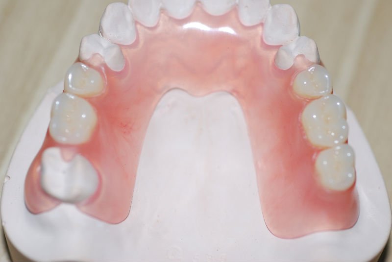
Силиконовые протезы — это гнущиеся конструкции с искусственными зубами. Это очень популярный вид съемного протезирования среди пациентов. Изготавливаются эти протезы частично из пластмассы, частично из силикона или нейлона.
Силиконовым протезами называют целую группу протезов для восполнения утраченных зубов на верхней и нижней челюстях. По своей сути силиконовый у протеза только каркас, на котором расположены пластмассовые зубы. Применяются протезы при полной или частичной потере зубов. Чаще протезы на силиконе используют для частичного замещения зубов., так как они не очень надежны для высоких жевательных нагрузок.
Из достоинств силиконовых протезов можно выделить:
1. Гибкость и воспроизведение рельефа неба. Протез хорошо подгоняется под анатомические особенности ротовой полости пациента и привыкание к нему занимает немного времени.
2. Конструкция надежно крепится и не выпадет во время жевания.
3. Гипоаллергенность материал. Протез подойдет людям с аллергией на акрил.
4. Прочность и долговечность конструкции.
5. Опорные зубы не нуждаются в предварительной обточке.
6. Материал устойчив к пищевым красителям.
7. Силиконовый протез очень похож на живые зубы, поэтому собеседникам будет сложно его заметить.
Стоимость зубных протезов в г. Сумы можно узнать по телефону
