Московский институт стали и сплавов опубликовал исследование, в котором объясняется причина разрушения металлокерамических коронок.
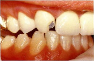
Металлокерамическая коронка состоит из металлического каркаса и слоя керамики, которым его покрывают. Иногда керамикой покрывают только те стороны коронки, которые видны при разговоре и при улыбке. Не покрытая керамикой металлическая часть постоянно контактирует с внутренней средой ротовой полости. В таких условиях коррозия и разрушение коронки не заставит себя долго ждать.
В лабораторных условиях ученые создали искусственную среду, полностью имитирующую внутреннюю среду ротовой полости. В нее были помещены девять различных металлических сплава, которые стоматологи используют при протезировании. Изменяя параметры биологической среды, ученые воздействовали на все подопытные образцы. Они в свою очередь подвергались коррозии. Самый большой вклад в изменение устойчивости к коррозии вносит отсутствие кислорода. Все металлические сплавы либо увеличивают скорость растворения, либо теряют защитные свойства.
Уменьшение содержания кислорода во внутренней среде ротовой полости не является редкостью. На это влияет общее здоровье организма человека, а так же его рацион питания.
