В последнее время встречается такая патология, которая носит название — ретенция.
Термин мало чем известен, но на самом деле он означает задержку роста зубов.
Попробуем разобраться в этой статье с этим термином.
Что это такое?
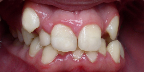
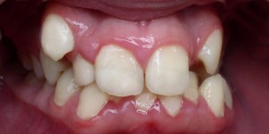
Ретенция — это задержка прорезывания зубов.
Больше всего проблем приносят зубы мудрости, потому что они прорезываются последними.
Патогенез болезни
Формирование зависит от состояния здоровья ребенка, беременности, здоровья матери и так далее.
Задержка в прорезывании зубов бывает двух видов:
- все зубы режутся одновременно, задерживаются резцы;
- процесс прорезывания зубов протекает медленно;
- нарушение парности.
