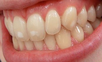
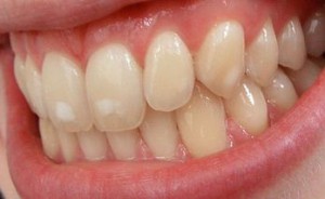
Флюороз – это заболевание, при котором из-за избытка фтора в организме происходит поражение эмали. Проявляется флюороз в виде
белых пятен или полос на зубах. Раньше такое явление называли «пятнистой эмали». Излишки фтора могут попадать в организм через воду, но существует и профессиональный флюороз.
Причины появления флюороза.
Фтор – вещество, которое требуется организму для формирования костей и эмали зубов. Он попадает в организм через пищу и воду, содержится в зубных пастах. Постепенная интоксикация организма начинается в случае содержания фтора более 1мг в литре воды. Если же концентрация фтора низка, то эмаль становится слабой и подвержена образованию кариеса.
Флюороз как правило поражает постоянные зубы и может развиться у детей до пяти лет, которые живут в регионе, где вода перенасыщена фтором. Молочные зубы практически не подвержены данному заболеванию, по причине того, что формироваться они начинают еще во внутриутробном периоде. У взрослого человека с уже сформировавшимися зубами, флюороз может проявиться в случае содержания в воде фтора более 6 мг на литр.
Лечение флюороза зависит от стадии развития заболевания. Если флюороз в легкой степени, то будет достаточно провести реминерализацию эмали и отбеливание. В тяжелых случаях потребуется реставрация зубов винирами или зубными коронками.
