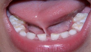
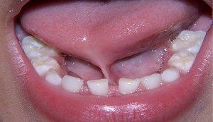
Здоровое состояние полости рта у ребенка влияет на правильное развитие зубов, формировании красивой улыбки и в становлении речи. Не малое участие в этом отведено уздечке языка. Короткая уздечка языка не дает возможности
правильно произносить звуки и этот дефект нуждается в коррекции. Зачастую коррекция уздечки языка проводится хирургическим путем, однако в некоторых случаях уздечку языка можно растянуть. Для этого следует обратиться к логопеду, который обучит технике и упражнениям для растягивания уздечки. Такие упражнения нужно будет выполнять постоянно на протяжении определенного периода.
Перед началом занятий следует провести массаж для мягких тканей. Для этого кончик языка берут пальцами и оттягивают вперед вверх, мягкими движениями отводят со стороны в сторону. Можно указательным и большим пальцами помассировать уздечку языка снизу вверх.
Упражнения по растяжке уздечки языка:
• Язык положить на нижнюю губу и максимально расслабить. Выполнять упражнения в три подхода по 10 секунд.
• Максимально высунуть язык изо рта и держать в таком положении 10 секунд.
• Высунуть язык и по кругу обводить губы.
• Широко открыв рот подвести кончик языка к небу. Двигать языком от зубов.
• Язык зафиксировать за зубами на небе, при этом рот держать максимально широко открытым.
Упражнения следует выполнять дважды в день. При этом за правильностью выполнения упражнений должны следить родители.
