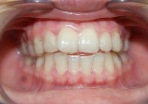
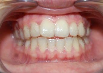
Сегодня мы расскажем еще про одну технологию выравнивание прикуса — это Easy Align.
Каждая каппа разработана с учетом текущей ситуации пациента. Каппа перемещает зубы на небольшое расстояние согласно плану лечения. Каждая последующая каппа из набора проделывает те же самые функции. Со временем ваша улыбка становится идеальной. В этой статье мы расскажем про сам процесс лечения с помощью этой технологии.
Сам процесс лечения разбит на несколько этапов:
1. Начинается лечение со снятия слепков, ортодонт подготавливает гипсовую модель челюстей и планирует лечения пациента, заполнив заявку и отправив в лабораторию для 3D моделирования.
2. Диагностический отдел отсканирует слепки очень точным сканером и получит идеальный цифровой вариант челюстей пациента. После оцифровки будет смоделирован план лечения, также точно будет определено время лечения и количество Изилайнеров (специальные каппы) для лечения.
3. После этого врач согласовывает полученный план лечения с пациентом, если пациента все устраивает план пересылается в производственный отдел Easy Align.
4. Производственный отдел используя точные фрезеры изготавливает необходимое количество капп для лечения прикуса.
5. После этого начинается процесс самого лечения: С помощью композитов ортодонт устанавливает специальные пункты, благодаря которым будет происходить перемещение. Пациент получает набор из девяти Изилайнеров, каждый нужно носить по одной неделе и разрешено снимать только во время гигиены и принятия пищи.
В течении недели пациент получает новый триплекс и процесс лечения продолжается до полного завершения.
Для закрепления результата после курса лечения пациент должен носить ретейнер.



