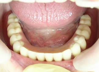
Протезирование нижней челюсти, особенно при полной потере зубов, представляет определенные сложности. Нижняя челюсть не имеет такой площади для опоры базиса как верхняя. Здесь наблюдается множество складок слизистой оболочки, уздечки и тяжи.
Все это не дает возможности качественно зафиксировать протез при помощи клапанного механизма. Близкорасположенные щеки и язык двигают протез, вызывая дискомфорт.
Если на нижней челюсти остался хотя бы один или пара здоровых зубов, то они послужат опорой для частично-съемных протезов и будут при помощи кламмеров удерживать протез на своем месте.. Поэтому стоит уделить особое внимание здоровью этих зубов.
При отсутствии противопоказаний протезирование нижней челюсти акриловым протезом будет хорошим выбором. Жесткость конструкции не позволит протезу искажать форму и деформироваться. Для более надежной фиксации протеза в ротовой полости.
Утрата всех зубов не является проблемой для современной стоматологии. Здесь можно прибегнуть к установке условно-съемного протеза на имплантатах. Особенностью этого метода является надежная фиксация протеза во рту за счет вживленных в челюстную кость имплантатов. Для чистки протеза или ремонта его всегда можно снять в кабинете стоматолога. Для прочной опоры достаточно нескольких вживленных имплантатов.
Поставить искусственные зубы в Сумах вы всегда сможете в нашей клинике.
