Фтор – один из важных микроэлементов, который необходим для укрепления костей и зубов , однако избыток фтора приводи к у флюорозу. Причиной тому является содержание большого количества фтора в воде и в воздухе.
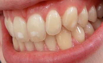
Проявляется флюороз на начальном этапе развития в виде белесых пятен на поверхности зубов. Убрать такой дефект можно посредством проведения процедуры отбеливания, которую лучше провести не самостоятельно, а под контролем стоматолога и с применением профессиональных средств. Но кроме отбеливания необходимо будет проведение следующих профилактических мероприятий:
• Если источником избыточного фтора является вода, то перед тем как ее пить, необходимо поводить очистку с помощью фильтров для обесфторивания.
• Покупайте для питья бутилированную очищенную воду.
• Зубная паста должна быть без содержания фтора. Лучше применять пасту с глицерофосфатом кальция.
• В рацион питания должны входить продукты, содержание фтора которых минимально.
• Начните прием витаминов и препаратов с содержанием магния и кальция.
• Очищайте зубы от образовавшихся пятен при помощи соды, клубники или перекиси водорода. Это наиболее распространенные способы домашнего отбеливания.
