Пародонтоз – заболевание, при котором происходит неинфекционный атрофический процесс в тканях пародонта. Это заболевание встречается не часто- всего от 1 до 8% людей.
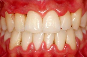
При пародонтозе происходит обнажение корня зуба. Часто пародонтоз путают с пародонтитом, но это два разных заболевания.
Причины возникновения пародонтоза до сегодняшнего дня точно не выяснены. Принять считать, что одним из факторов его возникновения является наследственность. Исследования показали, что наличие мягких и твердых отложений на зубах не играют значительной роли на появление заболевания. Пародонтозом чаще страдают женщины, имеющие патологии пищеварительного тракта и эндокринные заболевания. У пожилых людей заболевание более выражено по причине нарушения обмена веществ.
Признаки пародонтоза:
• В деснах чувствуется зуд.
• Воспаления десен не наблюдается.
• Шейки зубов обнажены, при этом пардонтальных карманов нет.
• Появилась чувствительность корня зуба.
• При запущенной стадии появляется подвижность зубов.
Пародонтоз бывает легкой, средней и тяжелой степени. При легкой степени заболевания зубной корень обнажается на треть. Болезнь на этой стадии поддается лечению. Проводится профессиональная гигиена, витаминотерапия и лечебные процедуры.
Средняя стадия предполагает обнажение зуба наполовину. Здесь для лечения понадобится хирургическое вмешательство для восстановления связочного аппарата.
При тяжелой степени пародонтоза корни обнажаются больше чем наполовину, а также наблюдается расшатывание зубов. Здесь так же не обойтись без хирургического вмешательства.
