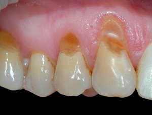
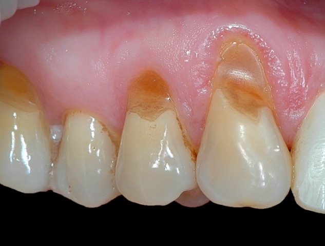
Клиновидный дефект является некаризионным поражением зуба, при развитии которого происходит образование в области шейки зуба клиновидного дефекта. Зачастую, данные дефекты наблюдаются на премолярах и клыках.
Зачастую при клиновидном дефекте не наблюдается изменение цвета зубной эмали, а поверхность такого изъяна блестящая и гладкая. Эмаль может поменять свой цвет, в случае, когда дефект поразит более глубокий слой эмали.
Основными симптомами клиновидного дефекта могут быть умеренная гипечувствительность зубов, а также боль при чистке зубов. Однако данные симптомы не всегда проявляются.
Основные причины появления клиновидного дефекта:
• опасная техника, применяемая при чистке зубов, например, когда используют неправильные движения зубной щеткой. Развитие клиновидного дефекта может быть спровоцировано, если же после употребления кислых фруктов или вина, чистить зубы. Кислые продукты выводят кальций из поверхности зубной эмали, поэтому не стоит сразу бежать и чистить зубы, стоматологи рекомендуют подождать около полчаса, а только потом хвататься за зубную щетку.
• некачественный уход за полостью рта. Эмаль зуба теряет свои полезные минералы, если на ней в большом количестве накапливается налет и отложения на зубах.
• гингивитом и пародонтит способствуют выделению десневой жидкости в больших количествах, Подобная жидкость вымывает кальций из поверхности зубной эмали. Ослабление эмали и приводит к появлению клиновидного дефекта
• присутствие сопутствующих болезней в организме. Зачастую клиновидный дефект обнаруживается у людей, страдающих на заболевания щитовидки. Также риску появления дефекта клиновидной формы подвержены лица, у которых наблюдается частая изжога.
Лечение клиновидного дефекта:
Если наблюдается незначительный дефект, то, как правило, пациенту проводят процедуру реминерализации зубной эмали. Данную процедуру проводят с целью насытить эмаль кальцием. Также для укрепления эмали проводят ее фторирование. Такая процедура позволит сделать зубы не такими чувствительными к воздействию механических раздражителей. Обязательной является тщательная гигиена полости рта с использованием зубной пасты, содержащей фтор.
