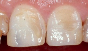
Описать строение зуба можно просто. Он состоит из дентина, который определяет атомическую форму зуба. Сверху дентин покрыт очень твердым слоем, защищающим его вот воздействия внешних факторов – эмалью.
Прочность эмали обеспечивает высокое содержание минеральных солей, однако этот факт не гарантирует , что эмаль нельзя повредить.
Повреждение эмали влечет за собой повышение чувствительности при приеме контрастной по температуре пищи, а так же кислой и сладкой. Повреждение эмали влечет за собой и дальнейшее разрушение зуба, ведь дентин остается без защиты.
Причины повреждения эмали:
• Питание будущей матери перед рождением ребенка не правильное. Дело в том, что формироваться зубы начинают еще до рождения малыша и мать должна употреблять пищу, содержащую все необходимые микроэлементы и витамины.
• Курение, злоупотребление алкоголем, открывание пивных бутылок зубами – все это разрушает эмаль.
• Сладкая газировка и частое употребление сладкого способствуют возникновению кариеса.
• Слишком жесткая щетина зубной щетки способна нанести микроцарапины на эмаль и повредить десны.
• Частое отбеливание зубов и постоянное применение отбеливающих зубных паст.
Профилактика повреждения эмали – прежде всего правильная и постоянная гигиена ротовой полости, своевременное обращение к стоматологу и здоровое питание. Нужно постараться избавиться от вредных привычек и не увлекаться сладким.
