Красивая улыбка всегда притягивает к себе внимание и является гордостью своего владельца, но ее могут испортить потемневшие зубы. Почему зубы темнеют?
Причины потемнения зубов:
1. Не соблюдение элементарных правил гигиены. Не снятый вовремя налет — это наиболее распространенная причина потемнения зубов.
2. Следствием плохой гигиены обязательно станет кариес. Кариес, деминерализируя ткани зуба, провоцирует образование темных пятен на эмали.
3. Употребления красящих продуктов таких как: кофе, ягоды, вино, овощи и др. Принимая такие продукты кроме обычной чистки зубов, следует использовать отбеливающую пасту 1-2 раза в неделю.
4. Курение придает зубам коричневый оттенок за счет смол, содержащихся в табаке.
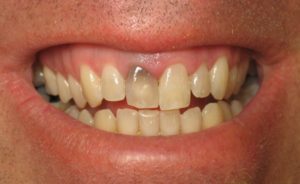
5. Потемнению зуба может предшествовать травма в результате которой была повреждена пульпа. Попадание в полость зуба гемоглобина сразу меняет его цвет.
6. Неправильное эндодонтическое лечение. Изменение цвета зуба может произойти под воздействием составляющих элементов пломбировочного материала.
7. Прием лекарств. Наиболее известным из окрашивающих зубы препаратов является тетрациклин.
8. Флюороз. Заболевание вызвано повышенным уровнем фтора.
9. Повышенная стираемость зубов.
10. Наличие металлической пломбы.
При потемнении зубов не нужно пытаться отбелить их самому, лучше обратится к специалисту, который знает как вернуть зубам их прежний вид без вреда для здоровья.
