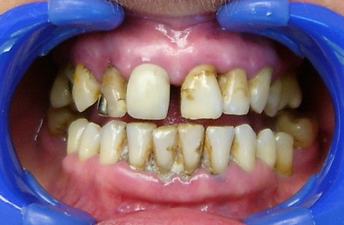
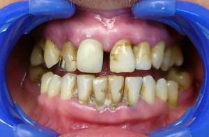
Не соблюдение элементарных правил гигиены полости рта может привести к скоплению на зубах большого количества зубного налета, который со временем может затвердеть в зубной камень.
Образование зубного камня может занять от четырех месяцев до полугода. Как правило, местом образования зубного камня является шейка зуба, однако иногда камень может затронуть зубную коронку и корень зуба.
В взависимости от месторасположения камня выделяют:
• надднесневой зубной камень: можно обнаружить при визуальном осмотре зуба; камень имеет белый или желтоватый цвет; удаление такого является простой процедурой и не занемает много времени, для удаления используют специальные инструменты;
• поддесневой зубной камень: по своей структуре камень твердый и плотный; находится в очень близком расположении к зубному корню; цвет камня неприятный (коричневый или темно-зеленый); выявить такой камень можно только у стоматолога, для его обнаружения используют специальный зонд.
Основные причины образования зубного камня:
• некачественная гигиена полости рта;
• сбой в обмене веществ;
• отсутствие в рационе питания твердой еды.
• особенности пережевывания пищи (привычка жевать еду одной стороной челюсти);
• аномальное расположение зубов;
• курение;
• врожденная предрасположенность.
Основные симптомы:
• кровоточивость десен;
• неприятный запах изо рта;
• темные пятна на зубах в области около десны.
Наличие зубного камня приводит к постепенному разрушению эмали зуба, в результате чего образовывается благоприятная среда для возникновения кариеса. Также зубной камень может спровоцировать развитие гингивита, а затем и пародонтита. Лучшей мерой профилактики зубного кариеса является регулярное посещение стоматологического кабинета и профессиональная чистка зубов.
