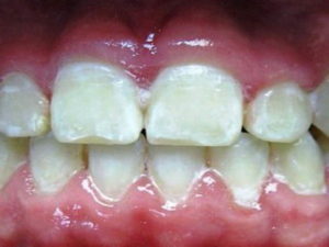
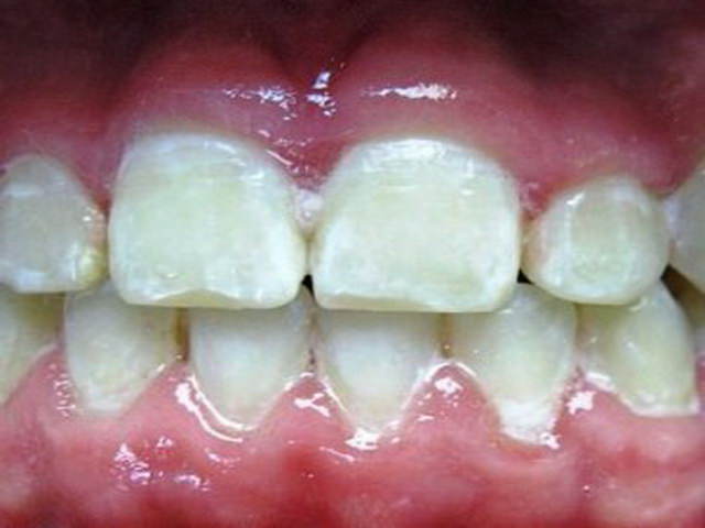
Не так и редко можно услышать о том, что появление белого налета на зубах – это нормальное явление. Поэтому многие люди даже не обращают внимание на это. Часто формирующийся налет на зубах и ведет к такой точке зрения. Но стоит задуматься о том, разве может улыбка быть красивой с налетом на зубах?
Зубной налет являет собой некое соединение остатков еды, болезнетворных микроорганизмов и микрочастиц слизистой оболочки. Поэтому следует уделять посредством ежедневной чистки зубов. Если этого не делать налет постепенно скапливается на зубах, отвердевает и образует камень. Бороться уже с этим самостоятельно не получиться так как можно повредить эмаль.
Рассмотрим причины образования зубного налета:
1. Отсутствие гигиены полости рта или неправильное ее выполнение. Чистить зубы нужно утром и вечером. Делать это следует правильно подобранными щетками и пастами.
2. Попадание пищи в промежутки между зубами. С этим поможет справится зубная нить.
3. Аномалии прикуса. Налет скапливается в труднодоступных местах.
4. Постоянное употребление мягкой пищи. При употреблении твердой пищи зубы очищаются.
5. Пережевывание еды лишь одной стороной челюсти.
6. Частое употребление красящих напитков таких как кофе или чай.
7. Табакокурение. На зубах оседают табачные смолы.
8. Проблемы с пищеварительной системой.
9. Гормональный сбой. Наблюдается у беременных и подростков.
