Заболевания пародонта и кариес— это основные причины выпадения зубов.
Кариес провоцирует разрушение твердых тканей , которое происходит после деминерализации эмали. Деминерализация – процесс в результате которого
эмаль теряет свою прочность. Происходит это из-за воздействия микроорганизмов, выделяющих кислоту в процессе соей жизнедеятельности.
Не вылеченный вовремя кариес, переходя в более тяжелые формы, приводит к полному разрушению и потере зуба. Лечение кариеса подразумевает удаление всех пораженных и размягченных тканей и заполнение образовавшейся полости специальным пломбировочным материалом.
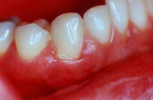
Заболевания пародонта также приводит к потере зубов. В процессе этого заболевания ослабевает удерживающий аппарат. В итоге зуб расшатывается и выпадает.
Лучшими мерами, которые может принять человек, по обеспечению здоровья своих десен и зубов, будет правильная гигиена полости рта и своевременные визиты к стоматологу.
