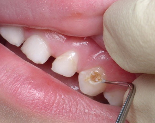
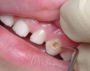
В этой статье мы расскажем про кариес молочных зубов.
Наследственность. Генетическая часть вопроса очень важна, если у родителей большая предрасположенность к кариесу, то и у детей будет тоже самое.
Питание. Неправильное питание, которое включает в себя много конфет, сахара и прочьих сладостей.
Болезни кишечно-желудочного тракта. Могут провоцировать кариес.
Дефицит полезных микроэлементов. Кальций и фтор — это защита эмали. Недостаточное количество приводит к кариесу.
Заражение. Заражение бактериями может привести к большим проблемам. Можно получить бактерия с помощью плохо вымытых приборов.
