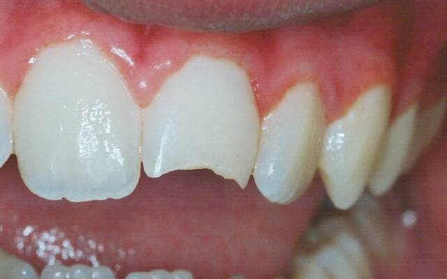
От того, что зубы начнут крошится не застрахован никто. Это может случиться как у пожилых людей, так и у молодежи. Подобное явление ведет не только к эстетическому дефекту, но и возникает проблема с приемом пищи.
Разрушение зубов происходит очень быстро и если тянуть с протезированием или восстановлением, то по и тогу расходы будут гораздо больше, поэтому не откладывайте посещение стоматолога в долгий ящик.
Рассмотрим причины, по которым зубы начинают крошиться:
• Всевозможные механические повреждение. Способствует тому наличие вредных привычек таких как открывание зубами пива или раскусывание орехов.
• Нехватка витаминов D и E, а так же такого необходимого элемента как кальций. Это обусловлено неправильным рационом.
• Плохое качество лечения зубов. Недолеченный зуб будет хрупким.
• Если человек страдает бруксизмом (скрежет зубами чаще во сне).
• Гормональные изменения.
• Генетический фактор. Если родитель страдали зубными проблемами, то большая вероятность того, что ребенку это досталось по наследству.
Восстановление зубов после раскрошивания может быть проведено двумя способами: пломбирование (при несущественном поражении) и протезированием (когда большая часть зуба разрушена).
