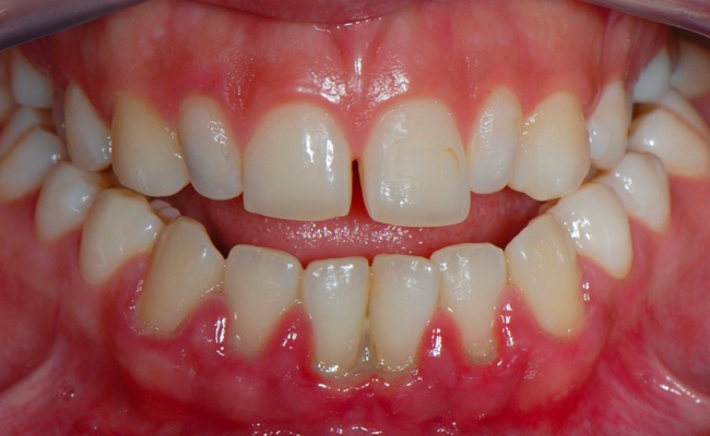
Пародонтитом называется воспалительный процесс в тканях окружающих и удерживающих зуб (десны, мышечные связки, костная ткано вокруг корня).
На начальном этапе заболевания человек может не ощущать боли, развиваясь заболевание будет сопровождаться покраснением и кровоточивостью десен, появятся болевые ощущения в процессе чистки и употреблении пищи. В запущенной стадии наблюдается повышение температуры и выделение гноя.
Причины, по которым появляется болезнь, бывают локального и общего характера. Локальные причины – это проникновение и размножение бактерий в ротовой полости. Этому способствует отсутствие гигиены и травмы. Причинами общего характера служат различные хронические заболевания.
Симптомы пародонтита:
1. Боль в деснах
2. Десна припухла и начала кровоточить
3. Появился запах
4. Наблюдается формирование карманов между зубом и десной
5. Из десневых карманов появляются гнойные выделения
6. Увеличилась чувствительность десен
7. Зубы начинают шататься
При обнаружении какого-либо из вышеперечисленных симптомов нужно сразу обратится к врачу и пройти курс лечения.
Профилактикой данного заболевания будет регулярная чистка зубов и удаление зубных отложений профессиональными методами.
