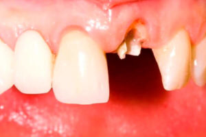
По своей природе зубы очень прочные, но в силу обстоятельств могут разрушаться.
Иногда случаются ситуации, когда откололся кусочек зуба. Такие травмы могут произойти во взрослыми, но дети не являются исключением.
Кусочек зуба может отломаться, если эмаль слишком слаба.
Современное протезирование зубов позволяет устранить проблемы за несколько этапов.
Есть несколько методик устранения визуальных дефектов и восстановления вида зубного ряда:
- Установка виниров — устранит надкол или трещину, придаст форму зубу максимально правильную.
- Установка ультраниров — керамические пластины, которые ставят с максимальной обточкой.
- Установка люминиров — минимальное препарирование зубов.
- Установка коронки. Конструкция насаживаться на зуб с имитацией формы.
- Вживление в канал зуба штифта.
Какой именно способ подойдет пациенту определяет только врач на основе осмотра и рентген-диагностики.
Следует постоянно следить за гигиеной полости рта, чтобы не получать проблем в будущем.
