Металлокерамическая коронка наиболее востребована на рынке стоматологических услуг. В ее прочности и надежности никто не сомневается, так как на протяжении многих лет она хорошо себя зарекомендовала.
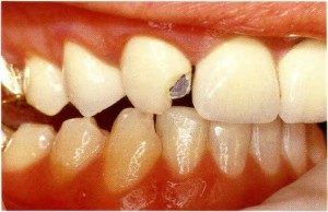
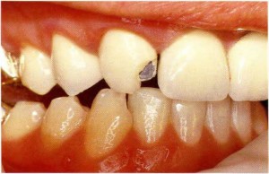
Прочность конструкции обеспечивает металлический каркас, а для придания коронке натурального вида, каркас покрывается керамическим слоем. В таком виде коронка прослужит долгие годы. Но случается, что керамика скалывается, обнажая металл. Это сразу делает коронку не эстетичной. Почему на коронке образовывается скол и что делать?
Скол на металлокерамике может появится из-за :
• Механического повреждения (травмы).
• Низкого качества исполнения работы зубным техником.
• Плохая окклюзия.
• Бруксизм.
Если дело в окклюзии, то выявляется причина и устраняется путем сошлифовывания или изменения формы коронки.
Если же при изготовлении коронки была допущена ошибка зубным техником, то такую коронку должны заменить.
Восстановление керамического покрытия происходит прямо во рту пациента. Для этого коронку очищают и обрабатывают силаном. После застывания связующего материала поврежденный участок покрывают опаковым материалом и воздействуют на него галогеновой лампой для отвердевания. Это делают чтобы металл не просвечивался. Далее наносят композит, подходящий по цвету. Завершающий этап – шлифование.
