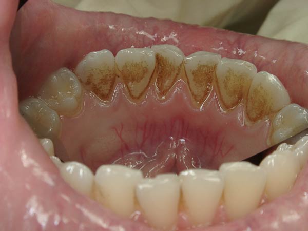
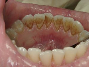
Если не добросовестно относиться к требованиям гигиены ротовой полости на зубах формируется зубной налет, который при отвердевании переходит в зубной камень. Это явление довольно опасное. Зубной камень становится причиной развития кариеса и воспалительных болезней десен.
Почему образовывается зубной камень?
Появление зубного камня может быть спровоцировано следующими причинами:
• Отсутствие гигиены ротовой полости или недостаточная гигиена.
• Чистка зубов проводится неправильно.
• Использование зубной щетки со слишком мягкой щетиной. В этом случае просто невозможно тщательно очистить зубы от налета.
• Употребление мягкой пищи или отсутствие в рационе жестких продуктов. Мягкие продукты оседают на зубах и становятся питательной средой для бактерий.
• Нарушение солевого обмена.
К сожалению, многие люди не уделяют должного внимания проблеме зубного камня и не спешат его удалять. Но кроме эстетической не привлекательности он несет вред здоровью. Так же не стоит пытаться самостоятельно снять твердые отложения, так как можно повредить слой эмали. А восстановить его будет уже невозможно.
Снять зубной камень в Сумах можно в нашей клинике.
