Перелом зуба предполагает механическую травму в результате которой нарушается целостность зуба (коронки, корня). Кроме зуба пострадать могут зубная лунка и челюсть.
К счастью переломы зубов в стоматологической практике у обыкновенных обывателей случаются не часто. Основная клиентура с такими проблемами – это спортсмены, занимающиеся боевыми искусствами и экстимальными видами спорта. Также это происходит у детей, которые активно бегают на детских площадках.
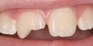
Перломы различают по сложности на:
• Полный перелом с раскрытием пульпы. Такой перелом вызывает сильную боль, так как к открытой пульпе проникают раздражители.
• Неполный перелом. В этом случае пострадает только слой дентина.
• Поперечный перелом. Здесь зуб ломается поперек и придется удалять пульпу, но считается такой перелом безопасным, так как зуб моно сохранить.
• Продольный перелом. Зуб ломается вдоль и восстановить такой зуб не удастся. Показанием при таком переломе будет удаление зуба.
Диагностировать перелом зуба самостоятельно очень легко благодаря боли посте травмы, так же это может сопровождаться расшатываением зуба и кровоточивостью. Паниковать не стоит. Приложите холод к зубу и обратитесь в ближайшую стоматологическую клинику.
