Некоторые родители не переживают из-за кариеса молочных зубов, а следовало бы.
Даже несмотря на короткий срок службы таких зубов, они очень важны, потому что защищают зачатки постоянных зубов, служат правильными формирователями уже постоянного прикуса, который в дальнейшем будет на всю оставшуюся жизнь человека.
Молочные зубы влияют на прикус и иногда из-за отсутствия зуба, ребенок может чувствовать себя не комфортно в садике.
Если ребенок рано теряет молочный зуб, то далее в будущем сто процентные проблемы с прикусом.
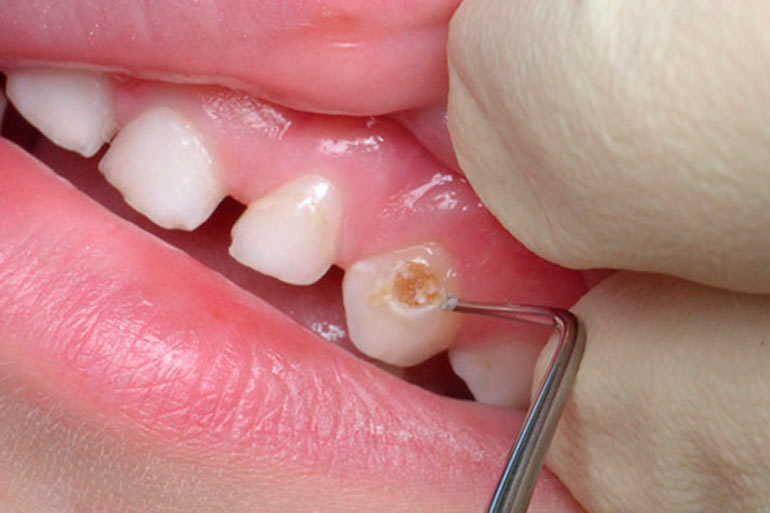
Основные признаки кариеса
Визуальные. Появление подозрительных пятен на зубах в короткие сроки.
Болевые. Паника у ребенка и плач при употреблении пищи, вялость.
Появление неприятного запаха из полости рта.
