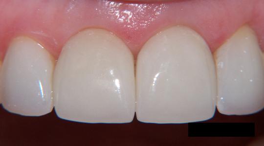
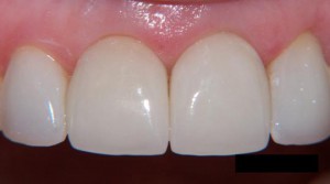
Металлокерамические зубы очень хорошо зарекомендовали себя за все время использования этого вида протезирования. Протезы из металлокерамики выглядят как обычный зуб и за счет металлического каркаса обладают высокой прочностью, поэтому пользуются популярностью при протезировании зубов, подвергающимся высокой жевательной нагрузке.
Но подходит ли металлокерамика для восстановления передних зубов?
Рассмотрим преимущества и недостатки протезирования передних зубов металлокерамическими протезами.
К основным достоинствам металлокерамики на передние зубы можно отнести:
• Внешний вид. Коронка выглядит натурально.
• Цвет металлокерамики максимально схож с цветом естественных зубов, так как предварительно подбирается.
• Прочность и долговечность конструкции (до 15 лет при правильном уходе).
• Стоимость металлокерамических коронок в Сумах довольно демократическая и ее позволить себе могут практически все.
Что касается недостатков металлокерамики на передние зубы, то они будут такими:
• Необходимость в обработке зуба под коронку. Нужно снять слой ткани зуба на толщину протеза.
• Передние зубы перед установкой коронки депульпируют (удаляют зубной нерв). Такая процедура снижает срок службы зуба.
• Металлические элементы в конструкции способны спровоцировать аллергическую реакцию.
• Некачественно изготовленный протез вызывает воспаление десен.
• Металлический каркас препятствует светопреломлению, поэтому металлокерамический протез не обладает природной прозрачностью как живой зуб.
