Основные проблемы связаны не только с деснами, но и с зубами. Временные молочные зубы со временем меняются.
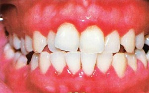
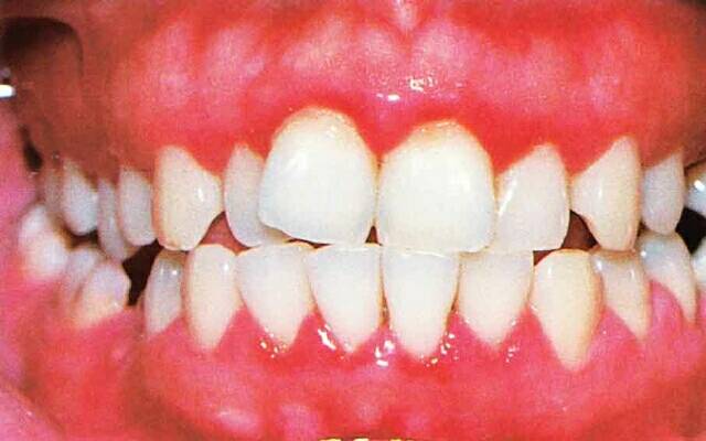
Одно из самых популярных и распространенных болезней — это гингивит, который характеризуется воспалительными процессами.
Это можно обратить в другую сторону, если начать во время лечение.
Отличительная особенность — это воспаление не затрагивает саму надкостницу, а также соединения.
Какие причины детского гингивита?
Самая основная причина — это отсутствие гигиены полости рта.
Просто родители не учат своих детей правильно чистить зубы. Детей нужно заинтересовать, поощрять за выполнение правил по чистке зубов и так далее.
Заболеванию также способствуют:
- Питание неправильное.
- Травмирование слизистой оболочки полости рта.
- Сахарный диабет.
- Вирусные инфекции.
- Наследственный фактор.
Лечение гингивита
Следует убрать причину, а не маскировать ее. Правильный выбор помогут сделать врачи, а также индивидуальные средства гигиены полости рта.
