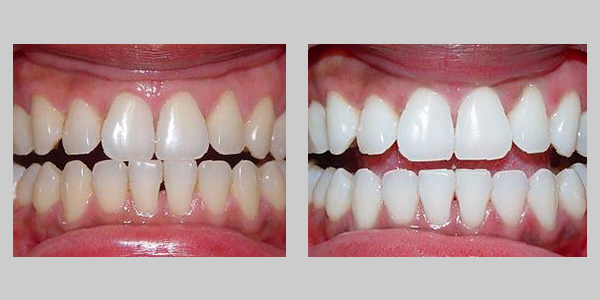
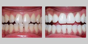
Улыбка, излучающая здоровье всегда привлекала внимание окружающих. Каждый человек мечтает иметь здоровые белые зубы. Но зачастую цвет зубов не всегда удовлетворяет требования своих владельцев. И тогда приходит время отбеливания.
Многие, прежде чем понять, что отбеливание – это процедура, которую следует провести профессионалу, сами пытаются отбелить зубы дома, не задумываясь о последствиях таких экспериментов. Домашнее отбеливание может повредить эмаль и сделать зубы более чувствительными. Кроме этого отбеливание имеет ряд противопоказаний, которые определит только врач. Поэтому перед отбеливанием следует посетить консультацию у стоматолога.
На данный момент самый эффективный способ отбеливания зубов – это лазерное отбеливание.
Преимущества лазерного отбеливания:
- Безболезненный и безопасный способ отбелить зубы.
- Повреждение эмали исключается.
- Вся процедура не займет много времени.
- Можно одновременно провести укрепление эмали с помощью специального геля.
- Зубы остаются белыми продолжительное время, в отличии от альтернативных методов отбеливания.
Единственный недостаток лазерного отбеливания – это высокая цена. Но если оценить все преимущества, то оно того стоит.

