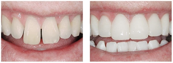
Не всегда есть деньги на дорогую керамику, поэтому на помощь приходят виниры из композитного материала.
Что такое композитные виниры?
Технология реставрации очень популярная во всем мире. Специалисты создают ее из разных материалов: оксид циркония, керамика, композитные пломбы.
На самом стартовом этапе применяются композитные виниры.
Способы изготовления, а также изготовки
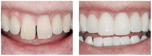
Есть две методики: прямой, непрямой.
Прямые виниры врач моделирует сразу в полости рта пациента за одно посещение.
Логично подумать, что это не керамика.
Непрямой метод применяется в том случае, когда пациенту нужно исправить несколько зубов.
Преимущества конструкций
- Не нужно сильно обтачивать конструкции.
- Процесс достаточно быстрый.
- Восстановить с помощью композита можно вернуть в другую сторону.
- Стоимость композита дешевле.
