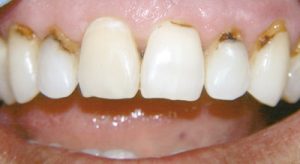
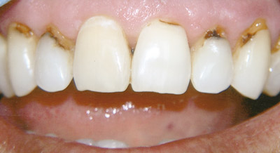
Поражение поверхности зубного корня кариозным процессом возле в районе шейки зуба и называется кариесом зубного корня. Чаще таким видом кариеса страдают люди более старшего возраста. В последнее время кариес корня зуба встречается часто, особенно у жителей высокоразвитых стран. Такое явление обусловлено ростом продолжительности жизни.
Среди специалистов ведется дискуссия, касательно факторов, влияющих на развитие кариеса корня зуба. Выделяют следующие факторы появления данного недуга:
• Неправильный рацион питания.
• Плохой уход за ротовой полостью.
• Влияние прокарсогенных лекарственных препаратов.
• Ненормированное содержание в питьевой воде фторидов
• Сопутствующие болезни зубов и пародонта.
Вовремя выявит кариес корня зуба не просто. Дело в том, что он развивается без симптомов. Обнаружить его можно на стоматологическом осмотре. При выявлении кариеса на начальном этапе все обойдется фторированием и шлифованием поверхности. Если же кариес более глубокий, понадобится хирургическая обработка и реставрация стоматологическими материалами.
Чтобы вовремя выявить кариес корня зуба не нужно пренебрегать осмотрами у стоматолога.
Лечить зубные корни в Сумах можно в нашей клинике.
