Хотите, чтобы у вас была ослепительно красивая и ровная улыбка? Вас пугает вид металлических брекетов? Прогресс не стоит на месте и сегодня, возможно, выровнять зубы без металла на зубах.
Представляем Вам новую американскую технологию Invisalign (Инвизилайн) которая представляет собой прозрачные эстетические каппы, с помощью этих капп можно выровнять любую патологию прикуса.
Как работает эта новая технология?
Выравнивание зубов включает в себя несколько несложных этапов. Перед установкой в стоматологической клинике, с помощью специального сканера от компании производителя делаются цифровые снимки, на их основании создается 3D модель вашего прикуса (текущего состояния зубов). После этого на заводе Invisalign изготавливаются по снимку каппы, которые шаг за шагом перемещают зубы в нужное положение. Лечение происходит с помощью серии прозрачных капп.
В процессе лечения прикуса, зубы перемещаются в нужном (запрограммированном) направлении, каппы из набора необходимо менять на новые, каждые две-три недели. На протяжении всего срока лечения, каппы Invisalign разрешается снимать только на время употребления пищи и правильного гигиенического ухода за всей полостью рта.
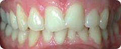
До и после лечения
Скученность зубов
Промежутки
Перекрестный прикус
Губокий прикус








