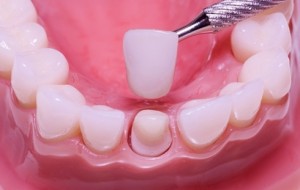
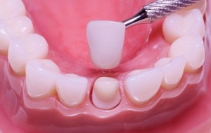
Металлокерамические протезы кажутся на первый взгляд все из одинакового материала. Но после того, как стоматолог объявляет на одну и ту же коронку разные цены, сразу возникает вопрос – а какая разница?
При выборе металлокерамической коронки следует обратить внимание на металлический сплав, из которого изготавливается каркас. Он изготавливается из различных сплавов. Сплавы бывают из простых металлов (кобальтохромовые или кобальтоникелевые) и из благородных металлов (чистое золото или золотоплатиновый сплав).
Отличие состоит не только в стоимости того или иного металла. При ношении протезов, каркас которого состоит из кобальтоникелевого или кобальтохромового сплавов, у некоторых людей возникает аллергическая реакция. Аллергия проявляется явно или вызывает постоянное воспаление в местах соприкосновения металла и тканей слизистой оболочки. Если каркас протеза изготовлен из платины или из золота, то возникновение аллергической реакции организма просто исключено, так как данные материалы полностью биосовместимы с организмом.
Коронки, у которых каркас изготовлен из сплавов благородных металлов, более прочны и прослужат своему владельцу дольше, чем коронки с каркасом из обычных металлов. Они препятствуют образованию кариеса под коронкой и не окисляются под действием слюны. Такие коронки не вызывают металлический привкус во рту и не выделяют неприятного запаха.
Узнать о стоимости металлокерамической коронки с каркасом из благородных сплавов в Сумах можно в нашей клинике.
