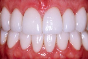
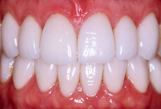
Керамические накладки на зубы или винниры относят к виду микропротезов. При помощи этих тоненьких пластиночек можно сформировать идеальную улыбку. Именно при помощи накладок многие звезды Голливуда стали обладателями таких ярких белоснежных и идеальных улыбок.
Дефекты зубов так называемой «зоны улыбки» легко можно исправить винирами. Будь то щели между зубами, сколы или нежелательный цвет, все скроется под винирами.
Как же устанавливают виры?
Установка виниров состоит из следующих этапов:
1. Подготовительный этап. Чтобы сделать фиксацию виниров надежной и чтобы они не выпирали, врач проведет препарацию (обточку) зубов, т.е. снимет небольшой слой эмали. Анестезия при этом используется только в случае высокой чувствительности зубов
2. Этап изготовления виниров. Для этого врач предварительно снимет слепки с обточенных зубов, которые направит вуботехническую лабораторию. Изготовление виниров занимает около двух недель. Все это время зубы будут не защищенные, поэтому врач предложит установить временные виниры.
3. Этап установки. Установка начинается с очистки поверхности зубов. После этого виниры будут установлены на поверхность зубов с помощью стоматологического раствора.
При правильном и бережном уходе виниры могут прослужить более двадцати лет. Не нужно пренебрегать правилами гигиены. Также следует избегать использования высокоабразивных паст.
