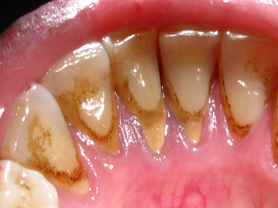
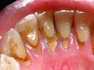
Зубной камень – это ничто иное, как затвердевший на зубах налет. Основная причина появления зубного камня заключается в плохой гигиене ротовой полости.
Не очищая зубы от налета мы способствуем его затвердению и уже самостоятельно избавиться от зубного камня не представляется возможным. А как известно, зубной камень является причиной появления кариеса и воспаления десен. Но не следует думать, что камень появляется только у людей, не следящих за своими зубами. Причинами образования зубного камня могут быть:
• Воспалительный процесс в организме и изменение состава слюны.
• Курение и крепкий кофе.
• Кривые зубы и наличие труднодоступных для зубной щетки мест.
Зубной камень является идеальной средой обитания болезнетворных бактерий, вызывающих кариес, пародонтоз и гингивит. Поэтому нужно избавиться от зубного камня, но делать это самостоятельно не стоит, так как повреждения эмали неизбежно. Лучше сразу отказаться от попытки самостоятельно снять зубной камень и пойти к стоматологу. Стоматолог предложит различные варианты чистки зубов (ультразвук, air flow т.д.). Все они будут проводится под его контролем и не нанесут зубам никаких повреждений. Процедура снятия зубного камня проходит безболезненно и позволить себе ее может каждый.
Проводить сеансы снятия зубных отложений в кабинетных условиях рекомендовано минимум раз в полгода. Не стоит также забывать и о чистке зубов дважды в день.
