В этой статье мы расскажем про изготовление металлокерамики.
Процесс изготовление таких конструкций достаточно сложный.
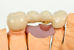
Первое что следует сделать так подготовить полость рта пациента к обточке зуба. Сначала врач снимает слепок, передает в лабораторию и там отливают каркас из металла.
Сама основа конструкции должна точно отливать форму зуба. Далее на каркас наносят керамическую массу нужного цвета и обжигают в печи при высоких температурах.
Коронка идеально совпадает с живым зубам по ряду многих характеристик: цветовой гамме, прозрачности, ряду свойств и так далее.
Эффект живого зуба возникает в результате обжига изделия.
Иногда обжиг проделывают шесть-семь раз.
