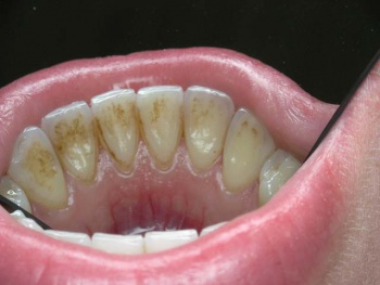
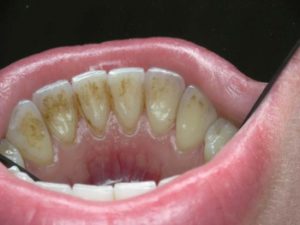
Красивая улыбка не возможна если на зубах есть налет. Налет образовывается у каждого человека. Он представлен в виде липкой желтоватой или бесцветной пленки, которая постоянно формируется в районе прилегания десен к зубам.
Причины возникновения зубного налета бывают различны:
• Курение. Табачные смолы оседают на поверхности зубов.
• Употребление различных напитков с красящими свойствами такие как кофе, кола, энергетики, чай.
• Наследственность формирует оттенок эмали.
• Эффект от приема различных медикаментов.
• Старение организма.
Для того, чтобы убрать зубной налет следует предварительно избавиться от причины его возникновения.
Какие основные способы удаления зубного налета?
Самыми популярными и действенными методами борьбы с налетом на зубах будут:
• Правильно подобранная зубная паста и зубная щетка. Жесткая щетина на щетке хорошо справляется с зубным налетом, но может повредить десны. Мягкая же напротив- малоэффективна. Лучше выбрать щетку средней жесткости.
• Отбеливающие зубные каппы. Это хороший способ сделать зубы белее без помощи стоматолога. Принцип работы каппы заключается в воздействии на зубы специального геля, помещаемого в каппу.
• Чистка зубов пищевой содой. Этот способ не стоит повторять часто так как можно повредить эмаль. Но он достаточно действенный в борьбе с налетом.
• Чистка зубов активированным углем. Принцип действия как и у пищевой соды.
• Снятие налета и зубного камня в кабинете стоматолога с использованием профессиональных инструментов.
• Различные народные способы, которых в большом количестве можно найти в интернете. Но стоит напомнить, что не все они безопасны.
